866-488-1085 help@wrightmccall.com

Bard PowerPort Lawsuit

 

Hundreds of adverse events linked to Bard PowerPort catheters have been reported to the FDA, and lawsuits are being filed nationwide. If you were injured after being implanted with a Bard PowerPort device, you may be entitled to compensation.

Contact Wright McCall at 866-488-1085 today for a free case evaluation.

Bard PowerPort Lawsuit

Bard PowerPort Device Failures Linked to Serious Health Risks

If you or someone you know suffered harm from a Bard PowerPort implant, Wright McCall’s experienced product liability attorneys can help. To speak with an attorney, call 866-488-1085 or submit a free case evaluation.

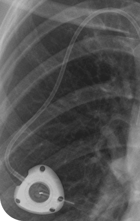
About the Bard PowerPort

Implantable ports are often used for patients requiring frequent or long-term IV treatments, blood draws, or transfusions—such as cancer patients undergoing chemotherapy. These devices allow direct access to the bloodstream.

The PowerPort ClearVUE Implantable Port, marketed by Bard, is designed to be flexible and resistant to surface degradation and stress cracking. It is constructed from polyurethane plastic with a septum (needle access point) and a catheter that leads into a blood vessel.

Injuries Linked to Bard PowerPorts

Unfortunately, Bard PowerPorts have been associated with higher-than-expected injury rates. Some of these injuries occur when metal needles rub against the inner plastic catheter, causing small holes or scratches. These micro-damages may allow bacteria to accumulate, potentially leading to severe or even fatal infections and sepsis.

Further, the device includes barium sulfate mixed into the plastic to make it visible on imaging. Once implanted, that additive can weaken structural integrity, increasing risks of degradation, fracture, or migration within the body. Some users have also experienced blood clots.

Recent Lawsuit Developments (as of August 2023)

The number of Bard PowerPort lawsuits has grown significantly, with dozens of cases filed across multiple federal jurisdictions. To streamline handling, the U.S. Judicial Panel on Multidistrict Litigation (JPML) consolidated these cases in the U.S. District Court for the District of Arizona, under Judge David G. Campbell. He now oversees the common legal issues and bellwether trial selections.

Could You Have a Case?

You might qualify for a claim if, following implantation of a Bard PowerPort, you experienced one or more of the following:

  • Port device breakage or fracture

  • Infection diagnosed more than 90 days after implantation

  • Blood clots

  • Device migration

  • Cardiac arrhythmia

  • Tissue, vessel, or organ perforation

  • Necrosis around the port site

  • Cardiac or pericardial tamponade

How to Move Forward

If you had a Bard PowerPort implanted and suffered injury, you should contact Wright McCall for a 100% free case review. Our attorneys accept cases from across the United States.

Call 866-488-1085 now or fill out our contact form to share your story.

Complications Linked to Bard PowerPort Devices

Lawsuits claim that Bard PowerPort catheters may shed particles that enter the bloodstream, potentially traveling to internal organs. This can cause serious organ damage and life-threatening infections.

Reported Risks and Injuries

Patients with Bard PowerPort implants have been reported to face an increased risk of:

  • Thrombosis or thrombotic events, including:

    • Thromboembolism – a dangerous blood clot that blocks blood flow in the veins

    • Myocardial infarction symptoms – heart attack-like symptoms such as chest pain, dizziness, or difficulty breathing

    • Pulmonary embolism – a clot that travels to the lungs, cutting off blood flow and requiring emergency treatment

  • Infections linked to the catheter

  • Device fracture or breakage

Additional Complications Reported

Some patients have also experienced:

  • Severe or persistent pain

  • Tearing of internal tissues or structures

  • Hematomas (bleeding under the skin)

  • Cardiac arrhythmia (irregular heartbeat)

  • Fluid buildup around the heart (pericardial effusion)

  • The need for corrective or emergency surgery

Device Breakdown Concerns

According to complaints, barium sulfate particles within the PowerPort may degrade over time. As the material breaks down, it can leave pits, cracks, and microfractures that weaken the device. This increases the risk of:

  • Device malfunction

  • Breakage or fracture

  • Migration to other parts of the body

Bard Poer Port Complications

Contact Wright McCall

11 + 8 =

“A groundbreaking new study shows that some popular tampons may have toxic heavy metals in them, such as arsenic and lead. Studies show that, over time, these toxins can cause severe damage to a human. NBC News’ Dr. Natalie Azar has more information.”

– NBC News

Bard PowerPort Case Timeline

September 17, 2025 – Over 2,000 cases are now on file in the implanted port catheter multidistrict litigation in the U.S. District Court of Arizona. More cases are also being filed in New Jersey and in state court in Arizona. In Arizona, the first trial has been set for August 2026, and in the federal MDL, six trials are scheduled to begin in March 2026 and to run through the end of the year.

The 2026 trials will focus on injuries caused by infection, thrombosis, and fracture. Lanier Law Firm founder Mark Lanier plans to try one of the bellwether cases.

The parties are currently engaged in motion practice. Defendants elected not to file common-issue motions for summary judgment, but both sides filed numerous expert challenges. Case-specific motions, focused specifically on bellwether trials, will be filed in October.

August 6, 2025 – Rebecca Phillips, Co-Lead Counsel on the Bard PowerPort litigation, provided the following: “On August 4, Plaintiffs served case-specific expert reports for bellwether cases. Common-issue expert depositions and case-specific fact witness depositions remain ongoing. Motions for summary judgment and expert challenges are expected later this month.”

May 14, 2025
 – The Court has selected six bellwether cases for trial in 2026. The Court also selected one alternate case, should one of the other six cases be resolved before trial. Of the seven cases, three are infection injuries, two are thrombus/occlusion injuries, and two, including the alternate, are fracture injuries. This selection will be followed by a short period of additional discovery and submission of case-specific expert reports, and briefing on summary judgment and expert challenges begins in the fall.

May 7, 2025 – 
General and case-specific discovery for Bellwether Group 1 has closed, and the parties will submit briefing today about which six cases should move forward as bellwethers. After the Court decides that issue, additional case-specific discovery may continue. The parties are also in the process of exchanging expert reports, rebuttals, and beginning expert depositions.

April 9, 2025 – Plaintiffs served their general expert reports on March 14, 2025. Plaintiffs disclosed a dozen experts who support Plaintiffs’ claims that Defendants’ port catheters are defective: Michael Beatrice, PhD; Bernard Camins, MD; Ahmed El-Ghannam, PhD; Darren Hurst, MD; William Jarvis, MD, Madris Kinard, MBA; Deborah Leckband PhD; Brian McVerry, PhD; Buddy Ratner, PhD; Amir Sheikhi, PhD; Becky Smith, MD; and Jeffrey Weinstein, MD.

The parties have completed general discovery and are winding up case-specific discovery for bellwether selection. At the last status conference, per Defendants’ request, the Court moved the deadline for the parties to agree on six bellwether cases or to submit opposing briefing about representative cases to April 28. The next conference is set for May 1.

January 16, 2025 – Discovery continues, and depositions are ongoing. This month, depositions of 15 potential bellwether plaintiffs will begin, followed soon after by treating physicians. These depositions are intended to help the parties narrow the bellwether pool from 15 cases down to 6 cases that will be tried in early 2026.

In December, the parties could not reach agreement over topics for corporate representative deposition, and the Court issued an order to govern the issue. The next hearing is set for today, January 16, 2025, and the parties are expected to argue over Defendants’ withholding of non-privileged evidence. Plaintiffs have already been successful in getting Defendants to release such evidence through the course of earlier disputes.

October 17, 2024 – The Court held a hearing on October 3 to discuss the progress of discovery. The parties argued regarding Defendants’ claimed privileges and redactions of evidence and regarding a potential, short extension of the discovery schedule due to Defendants late production of documents and continual moving back of witness deposition dates. The Court ordered more briefing on the issues. The parties also argued about evidence regarding the materials out of which Defendants’ catheters are made, and the Court determined that, if in the future Plaintiffs discovery that Defendants have withheld information, they may re-approach the Court regarding an appropriate sanction.

Meanwhile, depositions continue. Co-lead counsel, LLF attorney Rebecca Phillips, said that, while witness testimony cannot yet be made public, “Our team is doing good work in there.”

September 16, 2024 – Discovery continues, and depositions of Defendants’ witnesses have begun. The Court held a conference with the parties on August 16, 2024, to discuss the status of the case and ongoing discovery issues. The biggest issue was that, from the start of discovery, Defendants have opposed Plaintiffs’ discovery into the corporate relationship between Bard and BD for the purpose of proving successor liability. The Court – for a second time – rejected the Defendants argument. Unless the parties are able to reach an agreed stipulation on the relationship between Bard and BD, Plaintiffs’ successor liability discovery will continue.

Another hearing is scheduled for October, and at the last status conference, our own Rebecca Phillips who is on the leadership team for this litigation, told the Court that it may anticipate an argument about evidence that Defendants are withholding as privileged.

June 11, 2024 – The Court held another status conference with the parties on May 24, 2024 to receive an update on continued discovery issues. At present, the parties remain on track with the production of evidence so that depositions can begin in August of 2024. According to co-lead counsel, Rebecca Phillips, an attorney at the Lanier Law Firm, “It is important to get these cases to trial as quickly as we reasonably can. Since many of our clients are very ill, they can’t see justice soon enough.”

May 7, 2024 – The parties are scheduled to appear before the MDL Court again on May 10 to discuss ongoing discovery issues, including whether the parties are on track to meet current discovery deadlines.  At present, the parties continue to engage in the discovery process of identifying relevant witnesses and documents for production.  Depositions of those witnesses are still scheduled to begin in August of this year.

April 22, 2024
 – The bellwether pool closed on April 1, with bellwethers to be selected in the coming months.  The parties continue to work through general discovery issues, and depositions are set to begin in August of this year.

March 8, 2024
 – The Court held a case management conference on March 1, 2024, during which the Defendants argued to severely restrict the discovery that the Plaintiffs may conduct. The Defendants were unsuccessful. The parties will meet with the Court again on March 29, 2024, to discuss the progress of discovery.

February 2. 2024 – Discovery is ongoing, and the parties are due back in court in Phoenix on March 1, 2024.  At that time, the parties will report their progress in discovery and raise any discovery disagreements with Judge Campbell.  The judge has also asked that the parties finalize a preservation order that would apply to port devices that are explanted because of injury.

November 16, 2023 – Judge Campbell held a status conference at his courtroom in Phoenix, Arizona.  After the conference, he entered a Master Complaint and a Short-Form Complaint so that Plaintiffs may file their case directly into the MDL.  Judge Campbell also entered a case management order governing case deadlines.  The discovery period during which Plaintiffs may gather their evidence will run from November 20, 2023, through January 31, 2025.  After that time, the parties will submit expert reports, and trials are anticipated to begin in 2026.

October 18, 2023 – Judge Campbell has ordered the parties to cooperate in filing proposed protective orders, electronic discovery orders, and preservation orders by October 27, 2023.  He also ordered the parties to meet and confer regarding the form of complaints and direct filing orders, among other preliminary issues.  According to attorney Rebecca Phillips, “We will work with the Defendants’ counsel to help the Court get the MDL up and running as efficiently as possible as soon as possible.”  The next hearing will occur in Phoenix on November 16, 2023.

September 19, 2023 – The US District Court for the District of Arizona has appointed Lanier Law Firm’s own Rebecca Phillips as Co-Lead Counsel on the Plaintiff’s Leadership Counsel on MDL No. 3081, In Re: Bard Implanted Catheter Product Liability Litigation.

August 9, 2023 – Yesterday, the Judicial Panel on Multidistrict Litigation centralized federal PowerPort cases in the United States District Court for the District of Arizona before the Honorable David Campbell.  Judge Campbell was appointed to the bench in 2003 and, since that time, has presided over multiple MDLs, including In re: Bard IVC Filters Products Liability Litigation, case number 2:15-md-02641.

July 27, 2023 – Plaintiffs argued before the Judicial Panel on Multidistrict Litigation (“JPML”) that PowerPort cases should be consolidated for pretrial proceedings. Plaintiffs proposed consolidation in the Western District of Missouri, a place where cases have already been filed. Defendant opposed consolidation on the basis that some Plaintiffs injuries were, in its view, not attributable to the PowerPort. Defendant proposed either Utah or Arizona as appropriate venues if the JPML was inclined to consolidate the cases.

June 16, 2023 – The United States Judicial Panel on Multidistrict Litigation filed a notice that it will hear oral arguments on July 27, 2023, in San Francisco about whether to create a centralized federal MDL. If created, all pending litigation and any future lawsuits filed in federal court will be transferred to a single judge regardless of where they originated. The judge is likely to institute a selection process to hold trials in a few bellwether cases.

May 24, 2023 – Plaintiffs in various cases requested that the United States Judicial Panel on Multidistrict Litigation consolidate Bard PowerPort Lawsuits into a multidistrict litigation and that the cases be transferred to the Western District of Missouri. According to the motion, at least ten lawsuits have been filed in various federal districts nationwide, and many more are expected.

July 8, 2019 – The FDA cleared Bard Power-Injectable Implantable PowerPorts through the 510(k) process.

June 7, 2019 – The FDA makes the ASR database public. In response to the public outcry to the Kaiser Health report, and starts requiring companies to report adverse events through the publicly accessible MAUDE database.

March 7, 2019 – Kaiser Health publishes a report revealing that medical device companies were filing reports of device malfunctions to the FDA in secret.

December 29, 2017  Becton Dickinson and Co. acquires C.R. Bard and is believed to have taken on Bard’s liabilities.  This company earns approximately $16 billion in annualized revenue.

February 14, 2014 – The FDA clears the PowerPort Implantable Port through the 510(k) process.

November 15, 2012 – The FDA clears the PowerPort Clearvue Slim Implantable Port through the 510(k) process.

March 27, 2009 – C.R. Bard receives a 510(k) clearance for the PowerPort Due MRI Implanted Port with 9.5 Fr. Dual Lumen Chronoflex Polyurethane Catheter.

June 4, 2008 – The FDA clears the Powerport Implanted Port with Groshong Catheter.

December 19, 2007 – C.R. Bard receives a 510(k) clearance for the MRI Powerport Implanted Port with 9.6 Fr. Silicone Catheter.

November 14, 2007 – C.R. Bard receives clearance through the FDA’s 510(k) process for the Titanium PowerPort Isp Implanted Port with 6 Fr Chronoflex Polyurethane Catheter.

November 1, 2007 – The FDA clears C.R. Bard’s Powerport Polymetric Port with 8 Fr S/L Chronoflex Catheter through the 510(k) process.

January 25, 2007 – C.R. Bard receives an FDA 510(k) clearance for the Powerport Polymetric Port with 8 Fr S/L Chronoflex Catheter.

July 14, 2006 – The FDA grants multiple 510(k) clearances for C.R. Bard’s Implanted Titanium Port with 8 Fr. Chronoflex Catheter.

What Is a Bard Powerport?

Bard Powerport is a brand name for a medical device designed for surgical implantation in the human body. It provides health care providers with direct access to a vein to deliver medications, intravenous fluids, nutrition, or blood products. It is a convenient method of avoiding frequent patient contact with needles. They are commonly used for chemotherapy in cancer patients.

What Is the Problem with Bard PowerPorts?

The catheter is made from a type of polyurethane and silicone. It contains barium sulfate, a contrast dye that makes the port more visible during imaging tests, such as X-rays and CT scans. Unfortunately, barium sulfate has been shown to degrade polyurethane and silicone when in contact with human tissue.

Bard Powerport

Liability for Defective PowerPort Catheter Defects

Manufacturers of medical devices are required to ensure that the products they make available to the public are safe and effective.

The complaint allege that when C.R. Bard began receiving adverse event reports, it may have prevented hundreds of injuries and deaths by doing even one of the following:

  • Recall the product
  • Remove the barium sulfate from the product
  • Encapsulate the barium sulfate
  • Use a different polymer formulation
  • Update the warning label to disclose the known risks

Instead, Bard continues to market the product as safe and effective.

Complaints allege that not only did the company fail to take steps to protect the public, but it may have deliberately concealed the product’s harmful effects from the public.

What Did Bard Know About the PowerPort’s Defects?

According to the pending lawsuits, Bard received a large number of adverse event reports from health care providers soon after introducing the PowerPort to the market, indicating that the company knew or should have known that patients implanted with its PowerPorts had increased risks of potentially life-threatening injuries.

Who Is Liable for Harm Caused by Bard PowerPort Catheters?

Becton Dickinson acquired Bard in 2017 as a wholly-owned subsidiary. As a result, Becton Dickinson and Bard may be liable.

Contact Wright McCall to Start Your Claim Today

If you or a loved one received a Bard PowerPort implant and later suffered complications such as catheter migration, fracture, infection, organ damage, or life-threatening blood clots, you may be eligible to take legal action against Bard and Becton Dickinson.

Bard PowerPort Devices Involved in Lawsuits

  • Bard Power-Injectable Implantable Ports (PowerPorts®)

  • BardPort®, SlimPort®, and X-Port® Implanted Ports

  • Power-Injectable Implantable Ports with Chronoflex Polyurethane Catheters

  • PowerPort Implantable Port

  • PowerPort ClearVUE Slim Implantable Port

  • PowerPort Duo MRI Implanted Port with 9.5 Fr. Dual Lumen Chronoflex Polyurethane Catheter

  • PowerPort Implanted Port with Groshong Catheter

  • MRI PowerPort Implanted Port with 9.6 Fr. Silicone Catheter

  • Titanium PowerPort ISP Implanted Port with 6 Fr. Chronoflex Polyurethane Catheter

  • Titanium PowerPort ISP Implanted Port

About Wright McCall Attorneys

Wright McCall is a nationally recognized personal injury and product liability law firm. We handle a wide range of claims involving dangerous medical devices, pharmaceuticals, and consumer products. Our team is committed to advocating for clients harmed by defective products and unsafe practices.

Contact Us — Available 24/7

We make it easy to reach an attorney from anywhere in the U.S. Call 866-488-1085 or submit a request for a free consultation.